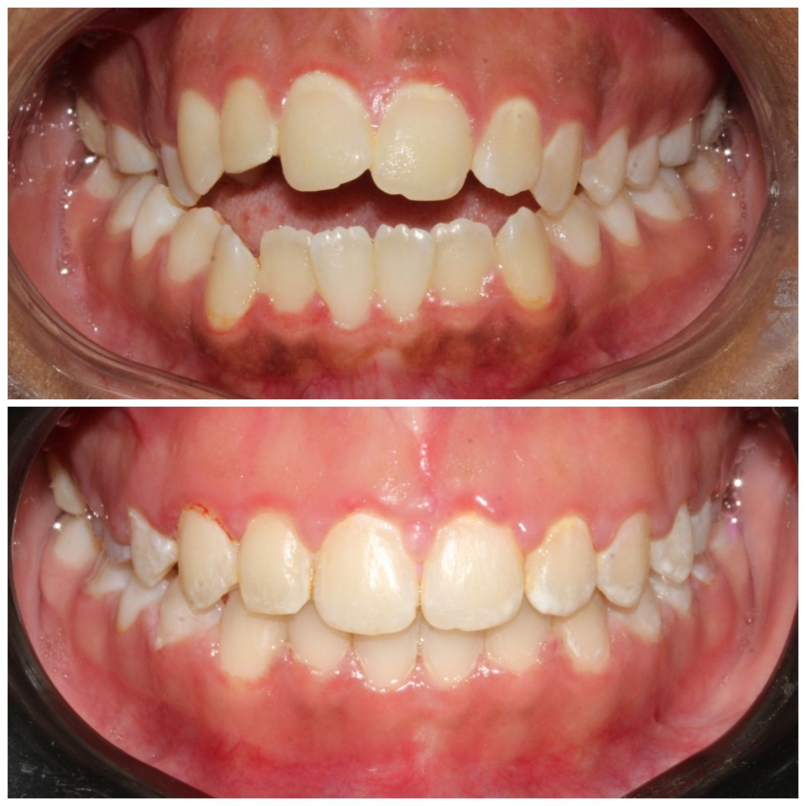
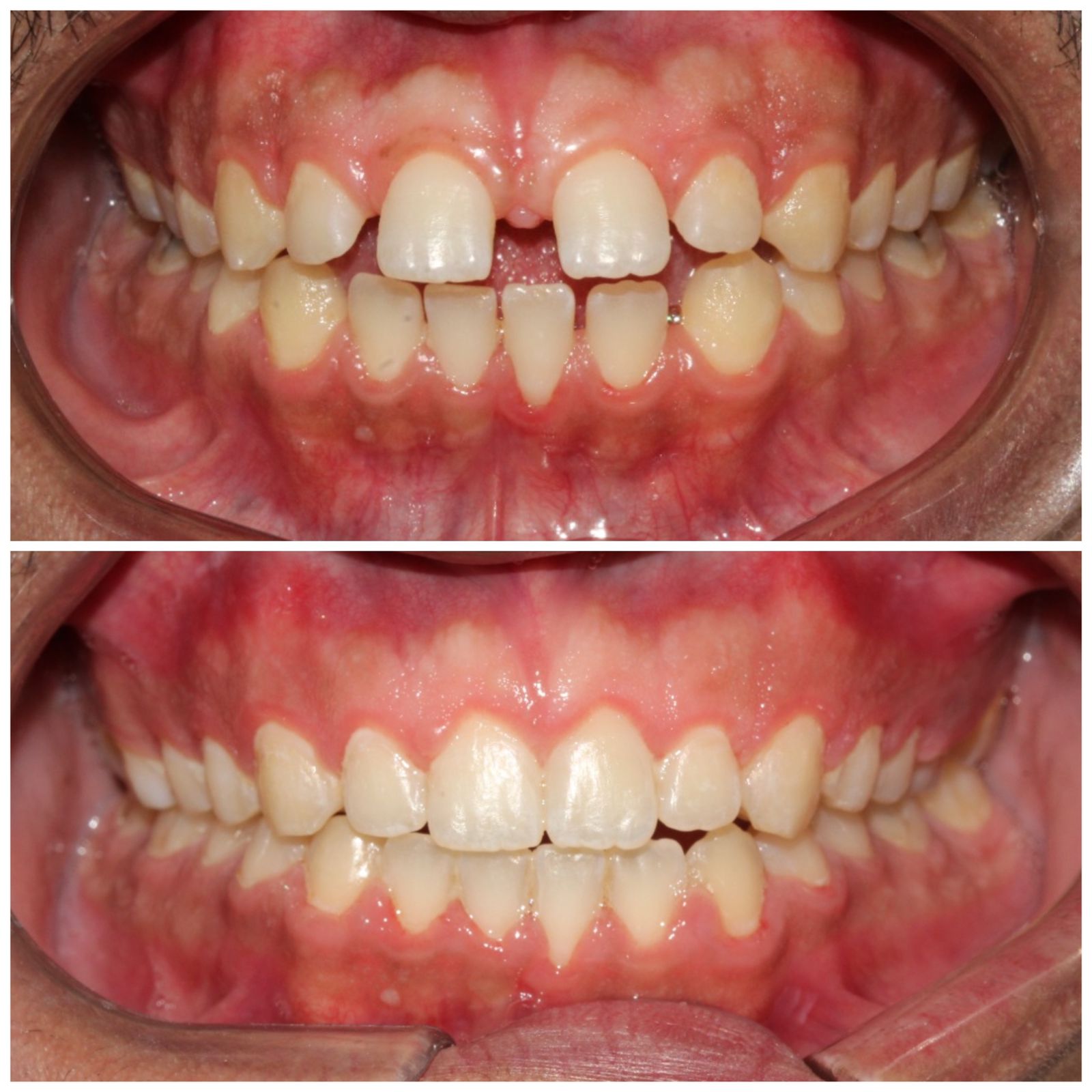
Orthodontics


When your teeth are properly aligned, they’re at a lower risk of tooth decay, gum disease, enamel wear, and TMJ disorder. Unfortunately, not all of us are lucky enough to have naturally straight teeth. Our variety of dental braces can enhance your smile’s function and aesthetics, transforming it into one of your favorite accessories 

Depending on your age, personal preferences, and the severity of your tooth misalignment, there are a variety of different types of braces to choose from. our orthodontists will walk you through which options are most appropriate for your smile — whether that’s clear aligners, metal and ceramic braces, or something else — so that you can play a role in selecting the best one for your lifestyle


Types of Orthodontic Braces Options Available




Clear Aligners

Clear Aligners (Invisible Clear Aligners) is a type of transparent braces that are made of aligners, instead of fixed bracket and wire braces, it provides an invisible orthodontic alternative to traditional metal appliances.  With clear aligners, you simply wear your transparent trays as directed. Each set of aligners moves your teeth into the desired position. You change the clear trays out every one to two weeks to continue your tooth movement.  The entire  system is founded on virtual 3D technology that digitally “moves” your teeth within a special software program. From there, a series of trays are printed to gently and gradually bring your teeth into an overall alignment

Advantages of Clear Aligners


:Invisible Clear braces that use aligners, provide our patients with perks like

Virtually clear aligners       

There is no diet restrictions       

Fewer, shorter trips to the dental office         

Comfortable treatment         

Easier home care         

Visualize your new smile using the latest  scan technology         

Remove your transparent trays during meals or to brush and floss like normal. Invisalign is easy to care for, so the trays don’t have to interfere with your typical daily routine


Metal and Ceramic Braces


Traditional teeth straightening methods use a bracket and wire system to guide your teeth into a proper alignment. Whether your smile is slightly crowded or has severe tooth misalignment, conventional braces are extremely effective 

Today, you have the option to choose between metal and ceramic braces in Dubai. You can either choose either traditional metal braces or a more cosmetic ceramic braces style. Both work similar to one another, but one is more subtle and blends in with your smile. Ultimately it depends on your preferences as to which one you choose




What to Expectt


If you’re getting dental braces, the process begins with a consultation and exam. Our  Orthodontists will evaluate your bite and teeth alignment (including TMJ function) to determine whether any correction is necessary. If it is, we can discuss the best types of braces for your needs. From there, we’ll take a series of impressions and scans, then work up a treatment plan outlining the details 

The length of your time in traditional braces or ceramic braces will be about the same, regardless of which one you choose


Most cases are completed in 12-18 months, but it ultimately depends on the extent of your tooth alignment needs. Wearing your appliances as directed will help to ensure a more efficient treatment experience 

During your consultation, our  Orthodontists can provide you with an estimate of the length of your treatment. Everyone’s smile is unique, so it’s key to work with an experienced orthodontic provider to get an accurate timeframe