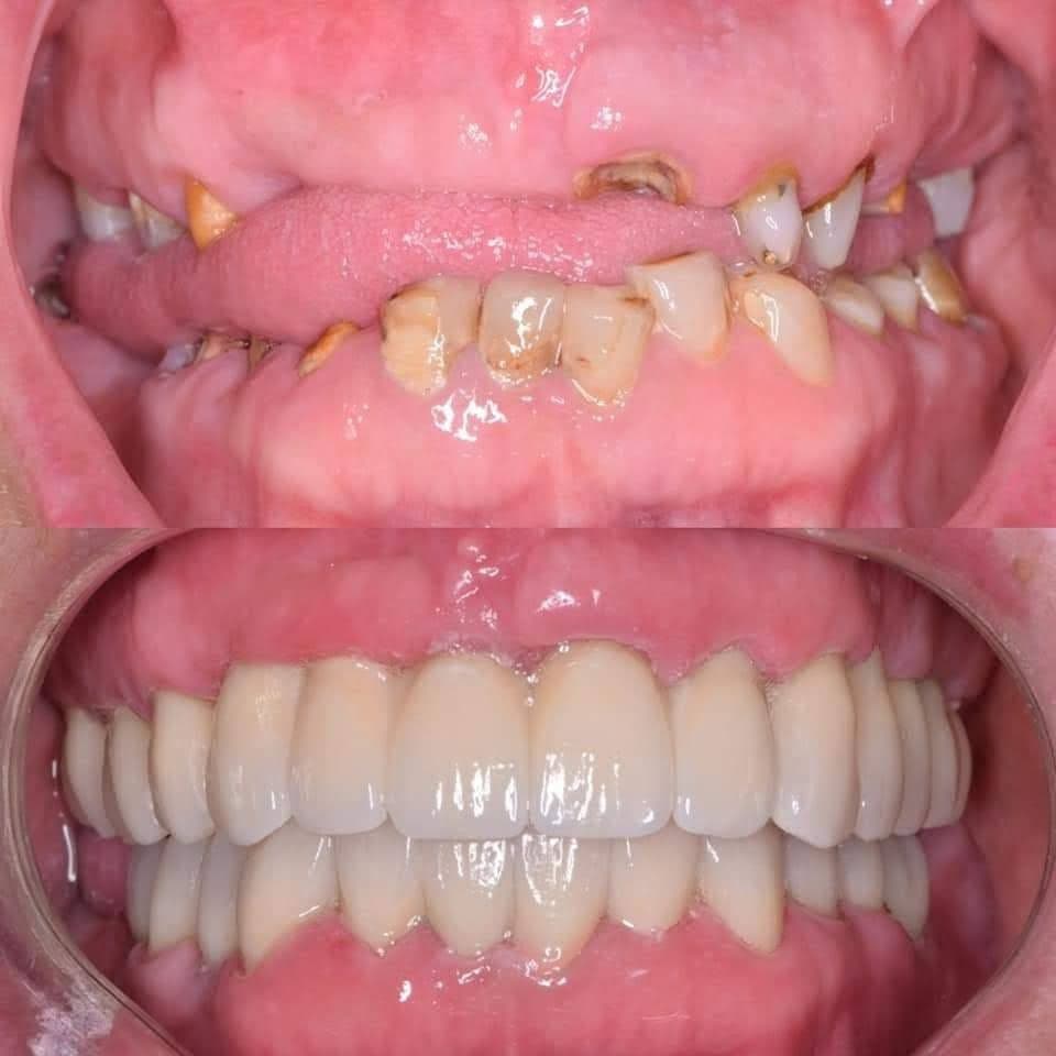
Dental Implants




Dental implants are the gold standard for modern-day tooth replacement. Since they fuse with your surrounding bone, implants essentially become a permanent part of your new smile 

Best of all, dental implants can work together to support one or several teeth at a time. They’re the next best thing

to having natural teeth all over again



The Dental Implant Process


At  Joy Dental Clinic, we utilize 3D dental imaging to map out your dental implant placement in advance. This state-of-the-art process streamlines your treatment time, reduces the need for a bone graft (for dental implant placement in areas of bone resorption), and shortens your recovery time. Using CBCT scanning, your implant is placed virtually ahead of your appointment. We then create a surgical guide to show the exact point and position of the installation location on the date of your appointment



Types of Dental Implants


3D Guided Implant Surgery

Dental implant treatment is one of the least invasive ways to replace your missing teeth. Since implants rest inside of the bone (similar to an anatomical tooth) they are completely non-invasive to surrounding tooth structure

When you incorporate our onsite CBCT (in dentistry) and 3D imaging equipment, we can map out your care for a precise and predictable dental implant experience


Same-Day Dental Implants


Depending on which teeth are missing and how you plan to replace them, it may be possible to place and restore same-day dental implants to minimize the time you spend waiting on your smile reconstruction



All-on-4 Dental Implants


All the teeth on 4 implants commonly called as All-on-Four dental implants provide patients a full arch prosthesis that is installed permanently

It is used for patients with full dentures who have all their teeth extracted and are very unhappy with them, particularly lower dentures


All-on-6 Dental Implants


All the teeth on 6 implants commonly called All-on-Six dental implants provide patients a full arch prosthesis that is installed for a lifetime. All-on-Six dental implants are a better choice when it comes to extensive restoration of the tooth 

It is used for patients with more tooth loss and who are discontent with their looks 


Contact Us

Contact Us