Cosmetic Dentistry
Our elite team of cosmetic dentistry providers offers a wide variety of customized makeover/cosmetic smile enhancement options. With aesthetic dentistry, you can transform your smile into your most prized accessory. From simple dental bonding to dazzling porcelain veneers, a Hollywood smile is life-changing in ways you never would have realized
Discover What’s Possible: Cosmetic Dentistry Previews
Our state-of-the-art facility provides a Digital Smile Design experience, where you can virtually “try on” cosmetic dentistry treatments like Porcelain Veneers or professional teeth whitening
With a few photographs and scans of your smile your virtual makeover shows you what’s possible. Think of it like a digital makeover or cosmetic smile preview before the treatment starts
With your digital smile design, you can compare and contrast different types of aesthetic dental treatment. Take the digital photos with you to get input from your friends or family if you prefer. That way you feel completely confident about your aesthetic dentistry investment
Something for Everyone
Every smile makeover journey is unique. Perhaps you have a few missing or worn-down teeth that need to be restored. Or maybe natural tooth discoloration causes your smile to look atypical and unhealthy. Whatever your needs are, our leading cosmetic dentists will tailor a plan to your specific situation
No two smile makeovers are the same. You might find that you only need one simple treatment or a combination of more complex
therapies
It’s fairly common for our cosmetic dentistry clients to request treatments like
Teeth whitening
Porcelain veneers
Dental implants
Porcelain crowns and bridges
Aesthetic gum correction
Gum depigmentation
Invisalign or other orthodontics

Dental Crowns and Dental Bridges
custom dental crowns and dental bridges are crafted from the highest quality and aesthetic materials. Our ceramic dental crowns blend in perfectly with your smile for a natural appearance that’s functional too. Or if you need to replace missing teeth, the same type of design options are available when it comes to the types of dental bridges we provide

Dental Crowns
The majority of our dental crowns are made of full ceramic without metal. These are more aesthetic and natural
When we design your ceramic dental crown, we use special shade guides to match the exact color and hue of your natural tooth enamel. That way the permanent crown will blend in with the neighboring teeth for an attractive natural smile
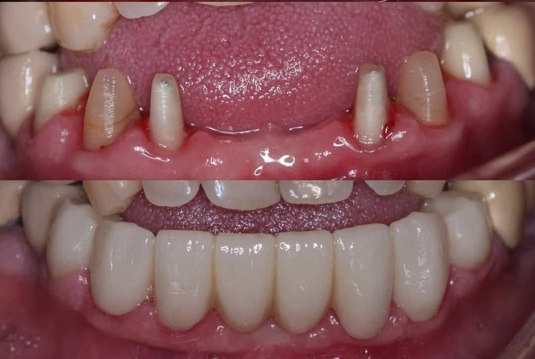
Ceramic Dental Bridge (for Missing Tooth)
Dental bridges are used to fill in the “teeth gap” created by a missing tooth. A fixed dental bridge almost looks like 3-4 crowns in a row, but only the ones on either end will fit over a tooth or dental implant. The pontic crowns suspended between them span the length of your teeth gap, filling in the open space
Bridges are used for replacing a missing tooth or pair of teeth. They require a healthy natural tooth on either end for support. But in the instance of 3-4 missing teeth, the ceramic bridge can be supported by a pair of dental implants








